| 地名:长江路 | 长江路区域代码:330382122000 |
| 镇级街道:北白象镇 | 北白象镇区域代码:330382122000 |
| 区县级市:乐清市 | 电话区号:0577 |
| 所在城市:温州市 | 邮政编码:325600 |
| 所在省份:浙江省 | 营业时间:上午8:00-下午17:00 |
| 城市代码:330382 | 所属商圈:长江路 |
| 车牌号码:浙C | 电话:0577-62866118 |
| 所属类型:口腔医院 | 地址:浙江省温州市乐清市北白象镇忠祥口腔门诊部(北白象镇白鹭屿) |
忠祥口腔门诊部>>位置示意图 |
| 地名:长江路 | 长江路区域代码:330382122000 |
| 镇级街道:北白象镇 | 北白象镇区域代码:330382122000 |
| 区县级市:乐清市 | 电话区号:0577 |
| 所在城市:温州市 | 邮政编码:325600 |
| 所在省份:浙江省 | 营业时间:上午8:00-下午17:00 |
| 城市代码:330382 | 所属商圈:长江路 |
| 车牌号码:浙C | 电话:0577-62866118 |
| 所属类型:口腔医院 | 地址:浙江省温州市乐清市北白象镇忠祥口腔门诊部(北白象镇白鹭屿) |
忠祥口腔门诊部>>位置示意图 |
忠祥口腔门诊部简介资料,忠祥口腔门诊部在哪里,忠祥口腔门诊部位置地址在浙江省温州市乐清市,北白象镇长江路附近
忠祥口腔门诊部概况介绍,地址位于乐清市北白象镇黄山路旁边,也就是在浙江省温州市乐清市北白象镇忠祥口腔门诊部(北白象镇白鹭屿)附近。
忠祥口腔门诊部是浙江省温州市下的口腔医院,评分等级:A级|,所属商圈:长江路
★坐公交车去忠祥口腔门诊部可以选择在附近公交站点有浙江省温州市乐清市白鹭屿(公交站)上下车【距离275米】途经公交车有乐清116路;乐清216路
☸坐轮船来忠祥口腔门诊部在附近港口码头:乌牛码头|距离:2525m (浙江省温州市永嘉县七都-乌牛乌牛-七都)下船
♨坐客车到忠祥口腔门诊部请在附近客运中心汽车站:温州汽车东站|距离:8273m (浙江省温州市龙湾区温州大道285号)下车,再选择打车、地铁、公交车到忠祥口腔门诊部就很近了
☧坐火车、动车、高铁来忠祥口腔门诊部就在最近火车站:温州站|距离:12673m (浙江省温州市鹿城区温州大道)下车
✈坐飞机来忠祥口腔门诊部就在距离最近的飞机场:温州龙湾国际机场|距离:13202m (浙江省温州市龙湾区机场大道1号)那里落地,再选择打车、地铁、公交车到忠祥口腔门诊部附近
忠祥口腔门诊部附近好玩吗,有什么好玩的地方,有什么景区景点,忠祥口腔门诊部附近有❁**硐桥环山公园**在浙江省温州市乐清市武夷山路与楠溪江路交叉口东200米,距离:391米,游客综合评价为3.8分。硐桥环山公园这是属于风景名胜;公园广场;公园,风景秀丽、人文底蕴深厚。
忠祥口腔门诊部周边有什么好吃的地方,餐厅或饭店,有什么必吃的小吃美食推荐,忠祥口腔门诊部附近美食有♨**遵义虾子羊肉粉(硐桥店)**在浙江省温州市乐清市北白象镇硐桥村黄山路六号,过去有44米,吃货评分为3.90分。遵义虾子羊肉粉(硐桥店)这是一家餐饮服务;中餐厅;火锅店,食材新鲜,做法精致,口感细腻,服务周到。
忠祥口腔门诊部附近酒店推荐,住宿哪家好,宾馆民宿有哪些,忠祥口腔门诊部附近酒店住宿有۩**乐清宜家宾馆**地址位于:浙江省温州市乐清市北白象镇长江路硐桥村宜家宾馆,距离:114米,旅行者评分为3.00分。乐清宜家宾馆提供住宿服务;宾馆酒店;宾馆酒店,带免费WiFi的空调客房。客房现代舒适,配有电视,电热水壶和私人浴室等设施。
在忠祥口腔门诊部想上厕所,卫生间,洗手间距离约:205米有**公共厕所**在浙江省温州市乐清市黄山路与104国道交叉口东南80米。
自驾,开车到忠祥口腔门诊部的车主,到达目的地距离约:246米,**白鹭屿综合楼停车场**地址在浙江省温州市乐清市白鹭屿通宫路白鹭屿综合楼,是位于地面的停车位。附近哪家加油站服务好,充电站,充电桩,新能源充电有哪些,推荐最近距离约:755米有一家**中国石化乐清二桥加油站**位于浙江省温州市乐清市北白象镇高中村附近,开放时间是全天24小时。开电车,新能源汽车车主可以到距离约:920米有**白鹭屿汽车充电站**位于浙江省温州市乐清市北白象镇白鹭屿村通公路天主堂东南70米附近,充电时间是全天24小时营业。
来忠祥口腔门诊部消费,需要办理金融服务,现金取现,忠祥口腔门诊部附近银行、ATM机距离约:219米**中国邮政储蓄银行(白鹭屿营业所)**在浙江省温州市乐清市北白象镇白鹭屿利民中心大楼一楼附近,类型:金融保险服务;银行;中国邮政储蓄银行,ATM网点是全天24小时开放。
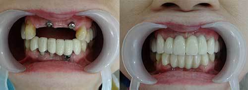
忠祥口腔门诊部周边卫生院推荐,诊所哪家好,医院有哪些,距离约:0米,**忠祥口腔门诊部**位于浙江省温州市乐清市北白象镇黄山桥,医院急诊是全天24小时值班。
忠祥口腔门诊部附近小区推荐,商务办公楼哪家好,公寓住宅有哪些,距离约:128米,**白鹭花苑**地址是浙江省温州市乐清市北白象镇白鹭屿,是商务住宅;住宅区;住宅小区。
忠祥口腔门诊部周边单位有哪些,距离约:95米,**硐桥村股份经济合作社**地址是浙江省温州市乐清市长江路与黄山路交叉口南20米,是政府机构及社会团体;社会团体;社会团体相关方面的单位部门。
忠祥口腔门诊部附近科教推荐,教育哪家好,培训机构有哪些,距离约:32米,**麦职教育(白鹭屿教学点)**地址是浙江省温州市乐清市北白象镇白鹭屿硐桥新村沿河路B幢8层,是科教文化服务;培训机构;培训机构方面的部门机构。
忠祥口腔门诊部距离262米有一家公司企业:**格亚电气**类型是公司企业;公司;公司,地点在浙江省温州市乐清市104国道附近。
忠祥口腔门诊部周边地名,附近道路有哪些,忠祥口腔门诊部旁边有黄山路,长江路,武夷山路,苍山路,玉苍山路,楠溪江路,吹台山路,正泰路,雁荡山路,中兴路,通公路,楠溪江路,南屏四路,新皇岙南路,瓯江路,寺前街,华山路,甬台温高速,G15沈海高速,泰山路,等等地名。
忠祥口腔门诊部位于北白象镇白鹭屿(白鹭花苑)住宅小区北方向128.657米的位置。
忠祥口腔门诊部位于长江路与黄山路交叉口西南20米(硐桥村村委会)乡镇以下级政府及事业单位西南方向100.291米的位置。
忠祥口腔门诊部位于北白象镇黄山桥(忠祥口腔门诊部)口腔医院Center方向0米的位置。
忠祥口腔门诊部位于长江路与黄山路交叉口西80米(怡家广场)普通商场西方向124.334米的位置。
忠祥口腔门诊部位于乐清市(黄山桥)桥西北方向63.5665米的位置。
忠祥口腔门诊部位于北白象镇硐桥村(硐桥佳禾幼儿园)幼儿园西南方向128.493米的位置。
忠祥口腔门诊部位于北白象镇白鹭屿硐桥新村沿河路B幢8层(麦职教育(白鹭屿教学点))培训机构西方向32.1155米的位置。
忠祥口腔门诊部位于长江路与黄山路交叉口西南20米(硐桥村党群服务中心)乡镇以下级政府及事业单位西南方向98.5305米的位置。
忠祥口腔门诊部位于长江路与黄山路交叉口西南20米(硐桥文化礼堂)科教文化场所西南方向95.2155米的位置。
忠祥口腔门诊部位于北白象镇白鹭屿白鹭花苑B幢1单元4楼401(金娃娃艺术培训中心)培训机构南方向106.129米的位置。
忠祥口腔门诊部位于北白象镇硐桥村长江路2号(春华教育(白鹭屿教学点))培训机构东方向150.175米的位置。
忠祥口腔门诊部位于长江路a8号(乐清市北白象镇硐桥村新时代文明实践站)科教文化场所西南方向89.2014米的位置。
忠祥口腔门诊部位于长江路与黄山路交叉口南20米(硐桥村村务监督委员会)乡镇以下级政府及事业单位西南方向97.3558米的位置。
忠祥口腔门诊部位于黄山路与104国道交叉口南160米(甲健园灰指甲)医疗保健服务场所西北方向121.788米的位置。
忠祥口腔门诊部位于长江路与黄山路交叉口南20米(中共硐桥村支部委员会)乡镇以下级政府及事业单位西南方向97.2815米的位置。
忠祥口腔门诊部位于北白象硐桥村长江路A区22-23号(湘西风味馆(硐桥店))中餐厅南方向53.2841米的位置。
忠祥口腔门诊部位于长江路与黄山路交叉口西南60米(环来托管服务部)培训机构西南方向139.881米的位置。
忠祥口腔门诊部位于北白象镇长江路硐桥村宜家宾馆(乐清宜家宾馆)宾馆酒店南方向114.024米的位置。
忠祥口腔门诊部位于长江路与武夷山路交叉口东北100米(工业邻里中心)商务写字楼西方向152.494米的位置。
忠祥口腔门诊部位于长江路与黄山路交叉口东北60米(庐山饭庄)餐饮相关东南方向49.7242米的位置。
忠祥口腔门诊部位于硐桥新村长江路A区7号(熙盛源·烤肉拌饭·炸鸡饭(硐桥店))快餐厅东方向112.456米的位置。
忠祥口腔门诊部位于北白象镇白鹭屿村白鹭花苑B幢一楼(华莱士(白鹭屿店))餐饮相关西北方向152.839米的位置。
忠祥口腔门诊部位于硐桥新村长江路A区12号(中国兰州拉面(温州乐清市))清真菜馆东方向96.8423米的位置。
忠祥口腔门诊部位于北白象镇硐桥村农贸市场(赣乡镇餐饮店)中餐厅西方向107.596米的位置。
忠祥口腔门诊部位于北白象镇白鹭屿村黄山路D幢4号(河南羊肉烩面白鹭屿分店)快餐厅西北方向127.424米的位置。
忠祥口腔门诊部位于柳市镇白鹭屿新村A幢14号(一鸣真鲜奶吧(温州柳市白鹭屿奶吧))甜品店西北方向153.198米的位置。
忠祥口腔门诊部位于北白象镇垌桥村怡家购物广场1层1-003-1(库迪咖啡(白鹭屿硐桥店))咖啡厅西南方向134.713米的位置。
忠祥口腔门诊部位于北白象镇硐桥村长江路咏尚超市楼下(古乐牛香牛杂火锅(硐桥店))火锅店西方向159.944米的位置。
忠祥口腔门诊部位于北白象镇黄山路与长江路交叉口往西50米(长江宾馆)宾馆酒店西方向195.061米的位置。
忠祥口腔门诊部位于北白象镇铜桥村长江西路16号(贵阳花溪牛肉粉面馆)中餐厅西南方向176.109米的位置。
感谢休淑、卜鷑、许臾楷提供忠祥口腔门诊部基本资料,感谢肖藘、童舻鍅整理上传忠祥口腔门诊部图片
►位置地图◄
►全部图片◄
►驾车路线◄
向东行驶115米左转
向西北行驶151米右转
沿车站大道向东北行驶22米右转
沿温州大道途径张宅河桥向东行驶2.2千米左转
沿汤家桥路途径旺增河桥向东北行驶1.4千米进入环岛
向东北行驶108米离开环岛
沿汤家桥路向北行驶1.3千米右转进入主路
沿学院东路向东行驶1.1千米靠左沿主路行驶
沿学院东路途径七都大桥向东行驶2.2千米靠左沿主路行驶
沿七都大桥途径104国道向东北行驶2.0千米靠右
沿104国道向东行驶1.4千米靠左
沿104国道向东行驶345米直行进入隧道
沿牛岩隧道途径104国道、东垟(1)桥向东行驶3.4千米右转
沿黄山路途径黄山桥向南行驶251米左转
向东行驶38米右转
向南行驶10米到达目的地
►骑行路线◄
ⓞ向东骑行84米左转
ⓞ向北骑行36米右转
ⓞ骑行23米左转
ⓞ向北骑行83米右转
ⓞ沿温州大道向东骑行2076米左转
ⓞ沿汤家桥路向东北骑行1456米向右前方行驶
ⓞ骑行108米向右前方行驶
ⓞ向北骑行1283米右转
ⓞ沿学院东路向东骑行1589米直行
ⓞ沿七都大道向东骑行1731米
ⓞ沿七都大道骑行592米左转
ⓞ沿汇侨街向东北骑行365米右转
ⓞ沿沙洲路向东骑行621米直行
ⓞ沿纬二路向东骑行31米左转
ⓞ向东北骑行232米向右前方行驶
ⓞ向东骑行372米向左前方行驶
ⓞ向东骑行731米左转
ⓞ向北骑行15米左转
ⓞ向西北骑行104米直行
ⓞ沿乌牛-七都向东北骑行981米直行
ⓞ向东北骑行116米右转
ⓞ沿交通西路向东骑行105米直行
ⓞ沿交通东路向东骑行384米直行
ⓞ沿小学巷向东南骑行551米直行
ⓞ沿交通东路向东骑行516米向右前方行驶
ⓞ沿104国道向东骑行1039米右转
ⓞ沿黄山路向南骑行251米左转
ⓞ向东骑行38米到达目的地
►步行路线◄
➤步行32米左转
➤步行119米左转
➤沿站前路向东北步行411米右转
➤沿玉虹南路向南步行306米左转
➤步行78米左转
➤沿象白路向南步行1350米向右前方行走
➤向南步行69米右转
➤沿交通路向西南步行2701米左转
➤沿交通北路向东南步行272米右转
➤向西南步行764米左转
➤向南步行259米向右前方行走
➤向西南步行626米左转
➤沿兴旺路向南步行77米右转
➤沿104国道向西南步行3940米向左前方行走
➤沿黄山路向南步行263米左转
➤向东步行38米到达目的地
►网友评论◄
微信公众号文章推荐
|
|
|
|
|
|
|
|
|
|
|
|
|
|
|
为您推荐更多相关文章
|













































